속쓰림이 자주 느껴지는데, 병원에선 "장상피화생이네요"라고 하더군요. 그게 무슨 말인지 몰라 무심코 넘겼는데, 검색해보니 위암과 관련이 있다는 말에 등골이 서늘했습니다.
혹시 여러분도 건강검진 결과지에 ‘장상피화생’이라는 단어를 본 적 있으신가요? 모르는 채 방치하면 위험할 수 있습니다.
이번 글에서는 장상피화생이란 무엇인지, 증상과 원인까지 쉽게 풀어드립니다.

📌 목차
장상피화생이란? 위 건강에 중요한 첫 단서



건강검진을 받고 위내시경 결과지를 받아 들었을 때, ‘장상피화생’이라는 단어가 눈에 들어오면 당황스러울 수밖에 없습니다. 처음 듣는 생소한 용어인데다, 설명을 들어도 명확하게 와닿지 않기 때문입니다.
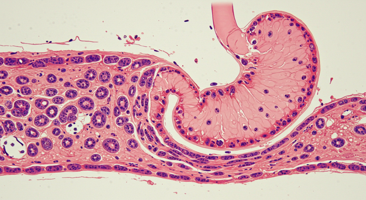
장상피화생이란, 쉽게 말해 위 점막이 장(腸)처럼 변한 상태입니다. 우리 위장에는 원래 위 점막 세포가 있어 위산과 음식물에 잘 견디는 구조를 가지고 있습니다. 그런데 여러 원인으로 점막이 지속적으로 자극을 받으면, 정상적인 위 점막 세포가 손상되고 소장이나 대장에 있는 장 세포와 유사한 세포로 대체되는 변화가 나타납니다. 이것이 바로 ‘장상피화생’입니다.
왜 위험할까요?
장상피화생 자체는 당장 통증을 유발하거나 눈에 띄는 증상이 있는 건 아닙니다. 그래서 많은 분들이 “크게 문제는 아닌가 보다” 하고 넘기기 쉽죠. 하지만 의학적으로는 위암의 전 단계로 분류될 수 있습니다.
정상 세포가 다른 세포로 바뀌는 ‘이형성(dysplasia)’의 일종으로, 이 변화가 축적되면 암세포로 발전할 가능성이 높아지기 때문입니다. 특히 헬리코박터균 감염, 만성 위염, 흡연, 염분 과다 섭취, 위암 가족력 등이 있다면 그 위험도는 더 커질 수 있습니다.
✅ 요약하자면
장상피화생은 위 점막의 조직 구조가 비정상적으로 바뀐 상태이며, 방치할 경우 위암으로 발전할 수 있어 조기 발견과 관리가 매우 중요합니다.
이런 증상, 혹시 나도 장상피화생?



장상피화생이라는 말을 처음 들었을 때 가장 먼저 드는 의문은 “내가 뭔가 이상을 느꼈었나?”일 겁니다. 하지만 안타깝게도, 장상피화생은 초기엔 특별한 증상이 거의 없습니다. 그래서 더 조용하고 무서운 질환으로 불리곤 하죠.
대표적인 장상피화생 의심 증상
아래 증상들은 장상피화생으로 인해 위 기능이 약화되거나 위 점막이 손상되면서 생기는 흔한 신호입니다:
- 소화불량
평소보다 더 자주 더부룩하거나, 식사 후 위가 쉽게 답답해지는 느낌 - 명치 통증 또는 불편감
공복 시나 식사 후에 속이 쓰리거나 묵직한 느낌이 들기도 함 - 구토감 또는 입맛 저하
음식을 먹고 싶은 생각이 줄고, 간혹 역한 느낌이 올라오기도 함 - 트림이나 신물 역류
위산 조절이 어려워지면서 생길 수 있는 증상 - 체중 감소
음식 섭취가 줄거나 소화가 어려워지면서 식욕이 떨어질 수 있음
❗ 하지만 위 증상들은 위염, 위궤양, 심지어 스트레스성 위장장애에서도 나타나는 흔한 증상들이기 때문에
“장상피화생”을 단정하기는 어렵습니다.
따라서 위내시경 검사와 조직검사를 통한 진단이 필수적입니다.
무증상이 더 위험한 이유
장상피화생은 위 점막의 구조적 변화이기 때문에 증상이 없더라도 위암의 전단계로 발전할 수 있는 상태입니다. 정기적인 내시경 검사를 받지 않으면 수년간 아무 자각 없이 방치될 수 있고, 그 사이에 암세포가 자라기 시작할 수도 있습니다.
장상피화생, 내 생활습관과 무관하지 않습니다



장상피화생은 어느 날 갑자기 생기는 질환이 아닙니다. 대부분은 오랜 시간 위 점막이 반복적으로 손상되고, 회복되지 못한 상태가 지속되면서 점차 변화가 일어나는 “위 점막의 만성적인 손상”에서 비롯됩니다. 특히 아래와 같은 일상 속 습관이나 환경이 주요 원인으로 작용합니다.
장상피화생의 주요 원인
- 만성 위염 (특히 위축성 위염)
- 위 점막이 반복적으로 염증에 노출되면 점점 얇아지고 약해지며, 장상피화생으로 진행될 수 있습니다.
- 헬리코박터 파일로리균 감염
- 위 점막을 지속적으로 자극하고 손상시키며, 장상피화생과 위암의 주요 원인으로 지목됩니다.
- 지속적인 흡연
- 담배 속 발암물질은 위 점막을 약하게 만들고 세포 변형을 유발합니다.
- 과도한 음주
- 알코올은 위 점막에 직접적인 자극을 줘 염증과 세포 손상을 반복적으로 유발합니다.
- 자극적인 음식 섭취
- 짜고 기름지고 매운 음식은 위 점막에 자극을 주고, 염증을 악화시켜 장상피화생 발생 위험을 높입니다.
- 불규칙한 식사 습관
- 야식, 과식, 공복 시간이 긴 식습관은 위산 분비를 불균형하게 만들어 점막을 손상시킵니다.
- 지속적인 스트레스
- 스트레스는 위장의 운동성을 떨어뜨리고 위산 분비 이상을 유발해 점막 손상을 가중시킵니다.
- 위염 방치
- 치료하지 않은 채 방치된 위염은 만성화되며, 시간이 지날수록 장상피화생으로 악화될 수 있습니다.
- 가족력 또는 유전적 요인
- 가족 중 위염, 위암 병력이 있다면 장상피화생 위험이 높아질 수 있습니다.
무심코 넘긴 습관들이 장상피화생의 씨앗이 됩니다
- 식사를 자주 거르거나, 밤늦게 먹는 습관
- 위염이 자주 재발하지만 병원 진료를 미루는 경우
- 스트레스를 받으면 속이 쓰리다며 그냥 소화제를 복용하는 패턴
- “위염이야 흔한 거지”라며 내시경 검사를 미루는 태도
이러한 행동이 쌓여 위 점막이 점차 장의 점막처럼 바뀌는 병적인 변화를 일으킵니다.
장상피화생을 예방하려면?
- 헬리코박터균 감염 여부 확인 및 치료
- 금연·절주 실천
- 짜고 자극적인 음식 피하기
- 위염 방치하지 말고, 치료와 정기 내시경 병행
- 스트레스 관리 및 규칙적인 식사 습관 갖기
왜 장상피화생을 방치하면 안 되는 걸까요?



장상피화생은 위암으로 직접 발전하진 않지만, 위암 발생률이 높은 상태입니다.
즉, 전암성 병변(pre-cancerous lesion)으로 분류됩니다.
- 위 점막이 비정상으로 변형된 만큼,
이후 암세포가 자라기 쉬운 환경이 됩니다. - 헬리코박터균이 있다면 반드시 제균 치료가 필요합니다
🎯 장상피화생 진단을 받았다면?
- 1~2년에 한 번 위내시경 정기검사
- 헬리코박터균 검사 및 치료
- 식습관 개선: 자극적 음식 피하기, 금연·절주
- 위 보호제 및 의사 지시에 따른 약물 복용
Q&A: 장상피화생에 대해 자주 묻는 질문
Q1. 장상피화생이 있으면 반드시 위암으로 발전하나요?
A. 아닙니다. 하지만 위암 위험도가 높아진 상태이므로 정기적인 관찰이 꼭 필요합니다.
Q2. 헬리코박터균은 꼭 치료해야 하나요?
A. 네. 장상피화생이 있을 경우 제균 치료는 권장됩니다. 위암 예방에 효과적입니다.
Q3. 장상피화생은 약으로 치료되나요?
A. 이미 바뀐 점막 자체를 원상복구하긴 어렵지만, 진행을 막는 치료가 가능합니다.
Q4. 장상피화생이면 위내시경은 얼마나 자주 받아야 하나요?
A. 일반적으로 1~2년마다 1회, 담당 전문의의 판단에 따라 더 자주 검사할 수 있습니다.
Q5. 식단에서 가장 조심해야 할 음식은 무엇인가요?
A. 짜고 탄 음식, 자극적인 양념, 가공식품은 피하는 것이 좋습니다.



마무리하며
장상피화생, 처음 들어보면 생소하고 어렵게 느껴지죠. 하지만 알고 보면, 우리 몸이 보내는 아주 중요한 신호예요. “요즘 속이 더부룩한데, 그냥 스트레스 때문이겠지…” 이렇게 넘겼던 순간들 속에, 사실은 위 건강에 이상이 시작되고 있었을지도 몰라요.
다행히도 장상피화생은 조기에 발견하면 충분히 관리할 수 있는 질환입니다. 생활습관을 조금 바꾸고, 위에 좋은 음식을 챙기며 정기적인 검진을 잊지 않는다면, 더 큰 병으로 가는 길을 막을 수 있어요. 지금 이 글을 읽고 계신다면, 이미 위 건강을 챙기려는 첫걸음을 내딛으신 거예요. 오늘부터 위를 더 따뜻하게 돌봐주세요. 장상피화생, 걱정보다는 관리가 먼저입니다.

'건강' 카테고리의 다른 글
| 구안와사 초기증상? 원인·치료 지금 꼭 확인하세요! (0) | 2025.07.28 |
|---|---|
| 코피나는 이유부터 멈추는 법까지, 원인 총정리! (0) | 2025.07.27 |
| 다한증에 좋은 음식 7가지 vs 나쁜 음식 한눈에! (0) | 2025.07.26 |
| 저혈당 쇼크? 증상·원인 제대로 알아두세요 (0) | 2025.07.25 |
| 땀띠 없애는 방법부터 증상·연고까지, 여름철 필수 가이드! (0) | 2025.07.22 |
| B형간염 항체 양성 vs 음성, 차이와 해석법 한눈에 정리! (0) | 2025.07.21 |
| 발냄새 원인 + 없애는법 TOP10 (신발 벗기 전 꼭 보세요) (0) | 2025.07.19 |
| 후두염 원인·증상부터 좋은 음식 7가지까지 한눈에 보기 (0) | 2025.07.18 |