목차

"요즘 왜 이렇게 어지럽지?"
"이명도 심해진 것 같고, 기억력도 자꾸 깜빡깜빡…"
혹시 나도 혈관에 문제가 생긴 건 아닐까 걱정되셨던 적 있나요?
오늘은 ‘경동맥’과 그 초음파 검사에 대해 이야기해 보려 합니다.
겉으론 멀쩡해 보여도, 경동맥이 좁아지면 뇌졸중 같은 치명적인 질환으로 이어질 수 있기 때문입니다.
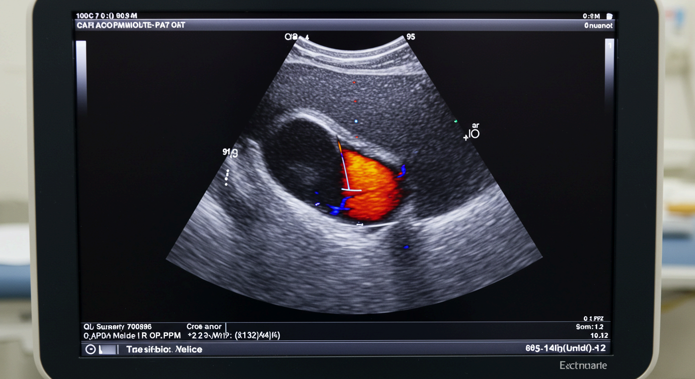
경동맥 초음파란?



경동맥 초음파(경동맥 도플러 초음파)는 목에 위치한 경동맥의 상태를 확인하는 비침습적 검사로, 뇌로 가는 혈류가 원활한지 확인하고 뇌졸중 위험을 조기에 진단하는 데 중요한 역할을 합니다.
특히 죽상경화증(동맥에 콜레스테롤과 지방이 쌓여 혈관이 좁아지는 현상)이나 혈전(피떡), 혈류 속도 이상 등을 실시간으로 확인할 수 있어 중년 이상 또는 심혈관 질환 위험군에겐 필수적인 건강검진 항목으로 떠오르고 있습니다.
검사 원리
경동맥 초음파는 고주파 음파를 이용해 목 부위 혈관의 구조와 흐름을 영상으로 보여주는 검사입니다.
특히 도플러 초음파 기능을 활용하면, 혈류의 속도와 방향까지 정밀하게 측정할 수 있어 혈관이 얼마나 좁아졌는지(협착률)도 확인할 수 있습니다.
검사 과정은 어떻게 진행될까?
- 검사자는 침대에 반듯이 눕습니다.
- 초음파 젤을 목에 바르고, 탐촉자(프로브)를 대어 경동맥 부위를 스캔합니다.
- 좌측·우측 경동맥을 각각 검사하며, 내경동맥·외경동맥·총경동맥을 순서대로 관찰합니다.
- 검사 시간은 보통 15~30분 정도 소요되며, 통증이나 방사선 노출이 없어 안전합니다.
어떤 경우에 경동맥 초음파가 필요할까?
- 고혈압, 고지혈증, 당뇨 등 심혈관 질환 위험요인이 있는 경우
- 가족력이 있는 경우 (특히 뇌졸중, 심근경색)
- 흡연자 또는 과거 심혈관 수술 이력이 있는 경우
- 어지럼증, 일시적 언어장애, 팔·다리 마비 경험이 있는 경우
- 50세 이상 중·장년층의 정기 건강검진 목적으로
경동맥 초음파의 장점
- 비침습적이고 안전함: 방사선 노출 없이, 임산부도 가능
- 실시간 혈류 확인: 단순한 혈관 형태뿐 아니라 혈액이 흐르는 속도와 방향까지 확인 가능
- 빠르고 간편: 검사 시간 짧고 바로 일상생활 복귀 가능
- 조기 진단 가능: 뇌졸중 위험을 미리 파악하고 예방 조치 가능



경동맥 초음파 검사로 알 수 있는 질환
경동맥 초음파 검사는 단순히 혈관을 들여다보는 데 그치지 않고, 심각한 뇌혈관질환의 징후를 조기에 발견할 수 있는 매우 유용한 검사입니다.
이 검사를 통해 진단 가능한 주요 질환들은 다음과 같습니다.
1. 경동맥 협착증 (Carotid Artery Stenosis)
가장 대표적인 질환으로, 경동맥 안쪽에 콜레스테롤·지방·혈전 등이 쌓여 혈관이 좁아지는 상태입니다.
- 뇌로 가는 혈류량이 줄어들어, 일과성 허혈 발작(TIA) 또는 뇌졸중으로 이어질 수 있습니다.
- 초음파 도플러 기능을 통해 협착 부위의 혈류 속도 증가 여부를 파악할 수 있으며, 협착 정도(30%, 50%, 70% 이상 등)를 수치로 명확하게 분석할 수 있습니다.
중년 이후 어지럼증이나 순간적인 시야 장애, 한쪽 팔 다리 저림을 경험했다면 협착 검사를 고려해보세요.
2. 죽상경화증 (Atherosclerosis)
죽상경화는 혈관 벽에 지방 침착물이 쌓여 혈관이 딱딱하고 좁아지는 상태입니다.
- 경동맥 초음파를 통해 **플라크(지방 찌꺼기)**의 형태와 위치를 확인할 수 있습니다.
- 경화된 혈관은 탄성이 낮아지고, 혈류 흐름이 비정상적으로 변함 → 뇌졸중, 심근경색 위험 증가
- 특히, 자각 증상이 거의 없기 때문에 조용한 살인자라고 불릴 만큼 조기 진단이 중요합니다.
3. 경동맥 박리 (Carotid Artery Dissection)
경동맥 벽이 찢어지거나 손상되면서 혈류가 이중 경로로 흐르게 되는 상태입니다.
- 매우 드물지만, 젊은 뇌졸중 환자에게 흔히 발견됩니다.
- 초음파를 통해 이중 벽 구조(Flap)를 포착하거나, 혈류 흐름 이상을 실시간 확인할 수 있습니다.
목 부위 외상이나 격한 운동 이후 갑작스러운 두통, 시야 이상이 있다면 즉시 검사를 받아야 합니다.
4. 경동맥 혈전증 (Thrombosis)
혈관 내에 혈전(피떡)이 생겨 부분적 또는 완전한 혈류 차단이 발생하는 질환입니다.
- 초음파는 혈류 속도 감소, 흐름의 왜곡 등을 통해 혈전 존재 가능성을 추정합니다.
- 조기 발견 시 약물치료로 예방 가능하나, 놓치면 중대 뇌졸중으로 이어질 수 있습니다.
5. 동정맥 기형 (Arteriovenous Malformation, AVM)
드물게, 정맥과 동맥이 비정상적으로 연결된 기형이 발견될 수 있습니다.
- 이런 경우 경동맥 초음파에서 비정상적인 혈류의 패턴이 나타나며, 추가적인 MRI나 CT로 정밀진단이 이어집니다.
- AVM은 뇌출혈 원인이 되므로, 무증상일 때 미리 진단되는 것이 가장 중요합니다.



그 외 감별에 도움이 되는 상태
- 경동맥 동맥류
- 혈관 내막염(염증)
- 혈관 탄성 저하 (노화 진행)
- 심장 질환의 간접적 신호 (심부전, 대동맥 질환 등)
경동맥 초음파 검사비용, 얼마나 들까요?
제가 몇 달 전부터 갑자기 어지러움과 이명이 심해져서 내과에 갔다가 경동맥 초음파를 권유받았어요.
개인 내과에서 받았고, 비용은 7만 원이었습니다.
다행히 협착은 없었지만, 혈류 속도가 다소 느린 편이라 식습관 개선과 꾸준한 운동을 권장받았죠.



만약 이 검사를 미뤘다면 불안한 마음만 키웠을 거예요. 돈보다 중요한 건 나 자신을 잘 아는 것이라는 걸 새삼 느꼈습니다.
이제부터 정확하게 얼마나 드는지, 어떤 경우에 비용이 달라지는지 자세히 알려드릴게요.
일반적인 검사비용 (비급여 기준)
- 대부분의 병원에서는 경동맥 초음파 검사를 비급여 항목으로 운영하고 있으며, 평균 가격은 다음과 같습니다.
| 대학병원 | 약 7만 원 ~ 12만 원 |
|---|---|
| 일반 종합병원 | 약 5만 원 ~ 10만 원 |
| 개인 내과 또는 영상의학과 | 약 4만 원 ~ 7만 원 |
건강보험 적용 가능할까?
기본적으로는 비급여 항목이지만, 아래 조건을 만족하는 경우 건강보험 적용이 가능합니다.
- 협착 증상이 의심되는 경우 (의사의 판단 하에)
- 고혈압, 당뇨병, 고지혈증 등 만성질환자로 뇌혈관 질환 위험이 높을 때
- 이명, 어지럼증, 일시적 언어장애 같은 경동맥 관련 증상이 있을 경우
보험 적용 시, 본인부담금은 약 2만 원~4만 원대로 줄어듭니다.
건강검진 프로그램 포함 여부
- 국가건강검진에는 포함되지 않지만,
- 일부 **프리미엄 건강검진(기업 종합검진, VIP 검진 등)**에는 포함되기도 합니다.
- 이 경우 전체 검진 비용 내 포함되기 때문에 별도 부담 없이 받을 수 있습니다.
실비 보험 청구 가능성은?
경동맥 초음파는 대부분 실비 보험에서는 ‘질병 치료 목적’일 경우 청구가 가능합니다.
단순 건강 확인 목적일 경우에는 청구가 거절될 수 있으니, 의사 소견서 또는 의뢰서와 함께 증상이 있는 경우로 진료기록을 받는 것이 중요합니다.



Q&A: 경동맥 초음파에 대해 자주 묻는 질문
Q1. 경동맥 초음파는 어떤 사람이 받아야 하나요?
A. 경동맥 초음파는 특히 고혈압, 고지혈증, 당뇨병, 흡연, 심혈관질환 가족력이 있는 사람에게 강력히 권장됩니다.
또한, 최근 갑작스런 어지럼증, 일시적인 시야 장애, 한쪽 팔 다리의 저림, 또는 이전 일과성 허혈 발작(TIA)를 경험한 분들도 반드시 검사를 고려해야 합니다.
40~50대 이후 건강검진 시 기본 항목으로 포함되면 조기 발견에 큰 도움이 됩니다.
Q2. 경동맥 초음파는 아프거나 위험한가요?
A. 전혀 아프지 않고, 비침습적이며 방사선 노출이 없는 안전한 검사입니다.
목 부위에 젤을 바르고 초음파 기기를 이용해 혈관 상태를 관찰하는 방식으로, 20분 이내에 끝나는 간단한 검사입니다.
검사 후 별도의 회복 시간도 필요 없고, 바로 일상생활로 복귀할 수 있어 바쁜 직장인이나 어르신 모두 부담 없이 받을 수 있습니다.
Q3. 경동맥 초음파에서 이상 소견이 나오면 어떻게 해야 하나요?
A. 초음파에서 협착, 혈류 이상, 플라크가 발견되면 그 심각도에 따라 치료 방향이 결정됩니다.
- 경미한 경우 → 식이조절, 운동, 약물치료로 충분히 관리 가능
- 중등도 이상 협착 → 뇌졸중 위험이 높기 때문에 정밀검사(MRA, CT혈관조영술 등)와 함께 수술적 치료(스텐트 삽입 등)을 고려하기도 합니다.
조기 발견이 중요하니, 이상 소견이 있더라도 너무 걱정하지 마시고 전문의의 상담을 받는 것이 우선입니다.
Q4. 경동맥 초음파는 얼마나 자주 받아야 하나요?
A. 고위험군이라면 1년에 한 번, 일반인도 2~3년에 한 번 정도를 권장합니다.
이미 협착이나 플라크가 있는 분들은 의사 지시에 따라 주기적인 추적관찰이 필요하며,
그 외에 50세 이상 중장년층이나 가족력이 있는 경우 건강검진 시 주기적으로 포함시키는 것이 좋습니다.



Q5. 경동맥 초음파 비용은 얼마나 드나요? 건강검진에 포함되나요?
A. 비용은 병원마다 차이가 있으나, 대략 3~6만 원대가 일반적이며, 대학병원은 이보다 다소 높은 편입니다.
- 건강보험 적용 여부는 의사의 의학적 판단(증상이 있거나 의심될 경우)에 따라 다릅니다.
- 일부 건강검진센터나 종합검진 패키지에는 기본 항목으로 포함되어 있기도 하며, 선택 검사로도 추가할 수 있습니다.
단, 조기 진단 효과와 뇌졸중 예방 비용을 생각하면 결코 비싼 검사는 아닙니다.
마무리
우리 몸의 중심, 뇌로 가는 생명의 길 ‘경동맥’ 겉으로는 멀쩡해 보여도, 조용히 병이 진행될 수 있기에 선제적인 관리가 무엇보다 중요합니다.
혹시 최근 어지럼증, 이명, 기억력 저하 같은 증상이 있었다면 한 번쯤 경동맥 초음파를 받아보세요.
지금의 작은 관심이, 미래의 큰 병을 막는 시작이 될 수 있으니까요.
증상이 없어도, 위험 요인이 있다면 꼭 받아보시길 권해드립니다.
"나중에"가 아닌 "지금" 건강을 확인하는 것이 진짜 예방입니다.

'건강' 카테고리의 다른 글
| 게실염 증상과 치료 방법 (+ 게실염에 좋은 음식 알아보기) (0) | 2025.06.24 |
|---|---|
| AST 수치가 높으면? 간이 보내는 경고 신호 총정리 (0) | 2025.06.23 |
| 갱년기 안면홍조 증상과 치료법 (+ 갱년기 안면홍조에 좋은 건강식품) (0) | 2025.06.22 |
| 봉와직염, 원인, 증상 (+ 치료법 알아보기) (0) | 2025.06.22 |
| HDL콜레스테롤 이란? 정상수치와 HDL콜레스테롤 높이는 방법 총정리 (0) | 2025.06.21 |
| ldl콜레스테롤 이란, 정상수치 (+ ldl콜레스테롤 낮추는 방법) (0) | 2025.06.20 |
| 손목 통증 원인, 치료방법, 완화찜질 (+ 손목이 시큰거리고 아플때) (0) | 2025.06.19 |
| 부정맥 증상및원인, 부정맥에 좋은 음식 (+ 운동 알아보기) (0) | 2025.06.19 |